Jeffrey D Gross
Stem Cell Whisperer at ReCELLebrate, USA; Chief Medical Officer, SPINE, USA
Aim and Scope
Genesis Journal of Surgery and Medicine addresses all aspects of surgery & anesthesia practice, medicine studies including anesthetic administration, pharmacokinetics, preoperative and postoperative considerations, coexisting disease and other complicating factors, General Surgery, Robotic Surgery, Orthopedic Surgery, GI Surgery, Surgical Oncology, Radiology, Ophthalmology, Pediatric Surgery, Minimal Access Surgery, Endocrine Surgery, Colorectal Surgery, Laparoscopic and Endoscopic Techniques and Procedures, Neurosurgery, Plastic Surgery, Cardiothoracic Surgery, Vascular Surgery, Urology, Preoperative and Postoperative Patient Management, Complications in Surgery and New Developments in Instrumentation and technology related to surgery, Intra-Operative Regional Anesthesia Administration Techniques, Peri-Operative Pain, Obstetric Anesthesia, Pediatric Anesthesia, General Anesthesia, Sedation, Regional Anesthesia, Outcome Studies and Associated Complications, etc.
Submit manuscript as an e-mail attachment to the Editorial Office at surgerymed@genesispub.org or surgerymedicine@genepub.org
Ownership and Management
Genesis Journal of Surgery and Medicine is owned and published by Genesis Scientific Publications, a privately held academic publishing company based in Chandigarh, India.
Genesis Scientific Publications is responsible for the journal’s production, online hosting, digital archiving, and distribution.
The journal maintains full editorial independence. All editorial decisions, including peer review, article acceptance, and publication, are made solely by the editorial team in accordance with international publishing ethics and best practices.
Contact: contact@genesispub.org
Publisher Website: https://www.genesispub.org/
Responsible Person: Editor-in-Chief: Jeffrey D Gross
Indexing and Abstracting:
RefSeek - Academic Search Engine
J-Gate
EuroPUB
ORCID
Google Scholar
Mendeley
DRJI
Open policy finder
Europub
Advanced Science Index
BOAI
Ulrich's
ICMJE
ROAR
© 2023 Genesis Scientific Publications | Open Access | Licensed under CC BY 4.0
Stem Cell Whisperer at ReCELLebrate, USA; Chief Medical Officer, SPINE, USA
Chief of Thoracic Cardiac & Vascular Surgery, Assistant Professor for Cardiovascular Surgery at Universitas Syiah Kuala
Anesthesiologist, Critical Care, Interventional Pain Management and Ultrasound-Guided Anesthesia, Algeria
Universidad Abierta Interamericana, Argentina
Professor & Head -Pulmonary Medicine Director - Critical care services Sree Balaji Medical College & Hospitals, Chennai. India
Researcher, Department of Chemistry, Juiz de Fora Federal University, Brazil
President of the Medical College of Uruguay, Uruguay
Senior Specialist General and bariatric surgeon Department of surgery Farwaniya hospital (Kuwait)
Clinical Associate Professor, Department of General Medicine, University of Western Australia, Australia
Physician, Yichang Central People’s Hospital, China
Head of Department of Pediatrics and Ped Mind Institute, Pediatric Surgery in the Field of Biliary Atresia, Medical and Finance Center Epe, Germany
Clinical fellow, Department of Cardiovascular Diseases, Faculty of Medical Sciences, University of Toronto (Temerty Faculty of Medicine),
Toronto, Ontario, Canada
Consultant Clinical Scientist, Cambridge, UK
Program in Developmental Biology, Baylor College of Medicine, Houston TX, USA
Stem Cell Whisperer at ReCELLebrate, USA; Chief Medical Officer, SPINE, USA
Physician, Department of Medicine, Ashford Presbyterian Community Hospital, Washington, USA
Assistant Professor, Department of Internal Medicine, Division of Hematology-Oncology, UAMS, Littlerock, Arkansas, USA
Associate Professor of Oral, Dental and Maxillofacial Surgery, Delta University, Cairo, Egypt
Consultant General & HPB Surgeon – Security Forces Hospital, Makkah, Saudi Arabia
Izmir Katip Celebi University Faculty of Dentistry, Department of Oral and Maxillofacial Surgery.
Clinical MD in Anesthesia and Intensive Care
Professor of pain diploma program at Central University of Venezuela
Neurosurgery | Pain Management | Research | Sport Medicine
General Surgeon and Founder of Surgical Pioneering Series
Assistant Professor / Special Associate Researcher, School of Optics and Photonics, Beijing Institute of Technology
In the dynamic landscape of healthcare ..
This case report details the management ..
Role of stem cells in immediate ..
Introduction: Bariatric surgery, ..
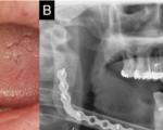
Severe maxillary and mandibular atrophy ..
The growing popularity of minimally ..
Bezoars are concretions or hard masses ..
Genesis Scientific Publication is a self-governed as self-financed organization which aims not to receive any kind of external support from institutions/organization. Hence, the processing charges received from the authors and some academic/corporate sponsors are the sole means of the operation of manuscripts. And for maintenance, the fee is being received namely “Handling Fee”.
Thus, our group is like an open book which can be accessible by anyone who is passionate about journals with any chargeable fee i.e. it’s absolutely free for readers. However, authors are supposed to pay the handling fee which is required for processing of articles only and no other fee will be charged. And there is a provision made for authors i.e. the payment will only be done after the publication of the manuscript. It provides immediate open access to its content on the principle that making research freely available to the public supports a greater global exchange of knowledge and the charges cover the costs of turning a manuscript into a finished article, and also consists of promotion and distribution fee. Thus, this fee varies accordingly with the extent or type of colored effects, complex equations, extensive editing and extra elongation of no. of pages of the article etc.
Moreover, no one can change one's mind or authors as it keeps on changing so authors are responsible for paying 70% of the manuscript handling fee once the article is submitted and accepted in the journal.
The standard processing fee of journal for all type of articles is mentioned below:
|
MANUSCRIPT TYPE |
ARTICLE PROCESSING CHARGES |
||
|
USD |
EURO |
GBP |
|
|
ALL ARTICLE TYPES |
300 |
277 |
239 |
Genesis Journals is committed to maintain the best level of sincerity within the content published in the journal.
Genesis Journals following International Committee of Medical Journal Editors principles on the way to affect acts of misconduct thereby committing to research allegations of misconduct to make sure the purity of research.
The research being reported in articles must be conducted in an ethical manner and must suits all relevant legislation. Authors must refrain from engaging in scientific misconduct.
Authors should present their results honestly and clearly without any fabrication, falsification, or any kind of inappropriate data manipulation. The authors should strive to explain their methods clearly and unambiguously must guarantee the originality of their material and their findings are often confirmed by others.
Authors should provide appropriate acknowledgement and authorship. All authors must have significantly contributed to the research. Authors must refrain from deliberately misrepresenting a scientist’s relationship with published work. Contributors who have made fewer substantial contributions to the research or to the publication are often acknowledged but shouldn’t be identified as authors.
Authors must tell the journal once they have an immediate or indirect conflict of interest with editors or members of the editorial board or International scientific committee.
Genesis Journals employ a double-blind review process. All contributions are going to be initially assessed by the editor. The editor is solely and independently liable for selecting, processing, and deciding which of the articles submitted to the journal meet the editorial goals and will thus be published. Each paper selected is shipped to two independent peer reviewers who are experts in their field and ready to assess the exact qualities of the work. The editor is liable for the final decision regarding whether the paper is accepted or rejected.
The decision to publish a paper will always be measured in accordance with its importance to researchers, practitioners, and potential readers. Editors should make unbiased and independent decision.
The editor’s action and decision are constrained by ethical and legal requirements like its own governing infringement of copyright and plagiarism.
Editors who make final decisions about manuscripts should withdraw from editorial decisions if they need conflicts of interest or relationships that pose potential problems concerning articles into account. The responsibility of the ultimate decision regarding publication are going to be attributed to an editor who doesn’t have any conflicts of interest.
The members of the editorial board ,chief editor, scientific committee, and reviewers shall withdraw in any case of conflict of interest concerning an author or authors, or the content of a manuscript to be evaluated.
The Journal will avoid all conflict of interest between authors, reviewers, and members of the editorial board and International scientific committee.
Each article submitted is the responsibility of one member of the editorial board or of the international scientific committee, who undertakes to have it evaluated by two peers who are experts in the field and who evaluate it anonymously.
Reviewed articles are treated confidentially by journal editorial board members and reviewers
In no case shall a journal and members of the editorial board encourage misconduct of any kind.
Members of the Journal editorial board shall attempt to prevent misconduct by informing authors and reviewers about the moral conduct required of them. Members of the editorial board, scientific committee, and reviewers are asked to remember of all kinds of misconduct to spot papers where research misconduct of any kind has or seems to possess occurred and affect the allegations accordingly.
Where appropriate, journal editors encourage authors to share the info that supports research publications. Editors encourage authors to state the supply of their data during a data statement attached to the submitted article. With the info statement, authors are often transparent about the info they utilized in the article.
All reviewers must know and keep in mind the editorial policy and publication ethics and malpractice statement.
Genesis Journals requires potential reviewers to have scientific expertise or significant work experience in a relevant field. They must have acquired recognized expertise by their peers and recently conducted research work. Potential reviewers should provide personal and professional information which is accurate, and which gives a fair representation of their expertise.
All reviewers must likewise withdraw if they feel their evaluation of the material will not be objective or they know they are unqualified to evaluate a manuscript, or if they understand themselves to be in a conflict of interest.
Reviewed articles are treated confidentially by reviewers and members of the editorial board and international scientific committee.
Reviewers should point out relevant published work which has not yet been cited in the reviewed material. Reviewers are asked to identify papers where research misconduct has or seems to have occurred and inform the editorial board, which will deal with each case accordingly.
The copyright on the original content and intellectual property shall remain with the authors. The authors grant, in exchange for publication in the Journal exclusive licensing of first publication, giving the Journal the right to produce and disseminate the contributions, whether collectively with other articles or individually, and in all media, forms known or to come.
The authors shall guarantee the originality of their material and shall not publish any text that would appear to contradict. Plagiarism and false or intentionally misleading declarations constitute behaviour that is at odds with the ethics of scientific publication.
No significant part of the article shall have been previously published either as an article or as a chapter or be under consideration for publication elsewhere.
If the authors intend to reproduce their article in other publications or for any other purpose and by any means, they must obtain the written authorization of the editorial board.
Articles are published in open access. There are no associated subscriptions or pay-per-view fees. All material is made available under the terms of the Creative Commons Attribution-Noncommercial-No Derivatives 4.0 International license (CC BY-NC-ND 4.0).
Journal’s content is archived in several copies by open edition, a publisher of online, free-access books and journals longer published, open edition maintains free access and will continue to make all archives available online.
The names of authors, reviewers, and collaborators along with the names of their organizations and institutional affiliations, which the Journal may record during its operations, shall remain confidential and shall not be used for any commercial or public ends beyond the signature of the articles published. However, this information may sometimes be required by government grant-giving bodies. The secrecy of the peer review selection shall be maintained when transmitting this information. A list of the names of authors, reviewers, and collaborators and the names of their organizations and institutional affiliations shall be sent with no explicit links between those named.
Genesis Journals may use these lists for its own purposes of request articles, collaboration, or other contributions, notably through occasional e-mails.
The authors retain the copyright of the content and grant the magazine the right to be the first to publish the article. This publication will be made under license, which allows others to share and reproduce the contents as long as the original authorship in the magazine is acknowledged and quoted.
This case report details the management of a 74-year-old male with a chronically infected tibial ..
Role of stem cells in immediate reconstruction of the mandible by bone graft was quite interesting ..
This research deals with the cure of Alzheimer’s disease use of stem cells and gene editing ..
In the dynamic landscape of healthcare delivery, the importance of critical care infrastructure ..
Bezoars are concretions or hard masses of foreign matter that are found in the gastrointestinal ..
The growing popularity of minimally invasive aesthetic procedures like Botox Cosmetic injections, ..
Severe maxillary and mandibular atrophy presents significant challenges in prosthetic ..
Introduction: Bariatric surgery, including vertical gastroplasty and mini gastric bypass (MGB), ..
Background: Uterine leiomyoma is a benign tumor that occurs in young women of reproductive and pre- ..
Introduction: Retiform hemangioendothelioma (RH) is a rare vascular tumor characterized by its ..
Background: Ovarian tumors during pregnancy are rare, occurring in approximately 0.3% of cases. The ..
Background: From an early age, patients with cleft lip and palate undergo numerous procedures and ..
The choice between endodontic treatment and periapical surgery for large periapical lesions has ..
This article aims to highlight the importance of understanding and controlling contamination in ..
The Wise pattern therapeutic mammoplasty has facilitated breast conserving surgery in the face of ..
Pain is defined as an emotional or sensory experience which is unpleasant and often associated with ..
Mental health illness (MHI) remains a major public health issues around the world, while the ..
Juvenile ossifying fibroma (JOF) is a rare benign fibro-osseous tumor that predominantly affects ..
In this study, we examine the blood sugar levels among 247 corporate employees residing in Dhaka, ..
Cholecystogastric fistula is a rare and life-threatening complication of cholelithiasis that ..
Pulmonary-Renal Syndrome is a rare, but life-threatening syndrome characterized by necrotizing ..
Blunt trauma abdomen can present in a very subtle way with missed internal injuries unless ..
Forensic odontology, historically underexplored in dentistry, plays a crucial role in medico-legal ..
A Thyroglossal cyst is amongst the most commonly encountered anterior painless neck swelling. Its ..
Hepatocellular carcinoma is a common gastrointestinal tumor in clinic, whose five-year survival ..
A 62-year-old man was admitted to the Emergency Department of the University Clinical Center of ..
This article provides a comprehensive review of the role of aerobics in hip movement and injury ..
Obesity is becoming more and more increasing in incidence all over the world including our kingdom. ..
Background: Diabetic foot ulcers (DFU) are a prevalent clinical issue. Platelet-rich plasma ..
COVID-19 patients, especially those with severe symptoms, are more susceptible to developing ..
Introduction Myopathy, lactic acidosis, and sideroblastic anemia 1 (MLASA1) is an autosomal ..
Early gastric carcinoma (EGC) is denominated as a neoplasm confined to gastric mucosa or submucosa ..
Drugs delivery systems are designed to maximize drug efficacy and minimize side effects. ..
Mantle cell lymphoma is a mature B cell lymphoma composed of miniature to intermediate, atypical, ..
Fluid Creep (FC) is a new name for an old phenomenon of fluid retention in hospitalized critically ..
Lipomas are benign mesenchymal tumors that are generally found in the subcutaneous tissue but have ..